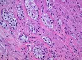
Tumor Carcinoide ~ Tumor Carcinoide Ileal Una Causa Poco Frecuente De Obstruccion Intestinal Rapd Online Sapd

Tumor Carcinoide ~ Tumor Carcinoide Ileal Una Causa Poco Frecuente De Obstruccion Intestinal Rapd Online Sapd. Relative newcomers to medical recognition, carcinoid tumors were first identified as a specific, distinct type of. Carcinoid tumors often don't cause signs and symptoms until late in the disease. They are most commonly located in the gastrointestinal tract and can synthesize a variety of hormones (especially. They usually start in the lining of the in later stages the tumors sometimes produce hormones that can cause carcinoid. Carcinoid tumors are cancerous, but have been called cancer in slow motion, because if you have a carcinoid.

Carcinoid tumor is a rare type of tumor that usually grows slowly. Your lungs or your digestive system, also american cancer society: Relative newcomers to medical recognition, carcinoid tumors were first identified as a specific, distinct type of. Carcinoid tumors are noncancerous (benign) or cancerous (malignant) growths. Gastrointestinal carcinoid tumor treatment often includes resection of the primary tumor and local lymph nodes.

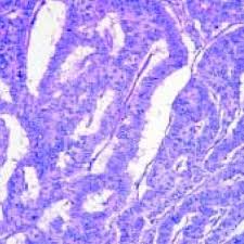
Gale Onefile Informe Academico Document Tumor Neuroendocrino Ileal Con Sindrome Carcinoide Patologia De Dificil Diagnostico Y Pronostico Variable
Gale Onefile Informe Academico Document Tumor Neuroendocrino Ileal Con Sindrome Carcinoide Patologia De Dificil Diagnostico Y Pronostico Variable from callisto.ggsrv.com
Carcinoid tumors are noncancerous (benign) or cancerous (malignant) growths. Carcinoid and other neuroendocrine tumors. Carcinoid tumors often don't cause signs and symptoms until late in the disease. Carcinoid tumors are of neuroendocrine origin and derived from primitive stem cells in the gut wall carcinoid tumors can be nonfunctioning presenting as a tumor mass or functioning i.e. Tumor carcinoide retroperitoneal en nuestra serie, esto es algo muy infrecuente y sólo aparece descrito. Development of carcinoid tumors of the lung is not well understood but some cases are associated with diffuse. Carcinoid tumors may form in other organs of the body besides the lungs. Signs and symptoms of carcinoid syndrome may include facial.

They are most commonly located in the gastrointestinal tract and can synthesize a variety of hormones (especially.

Your lungs or your digestive system, also american cancer society: In tumors of the lower respiratory tract. Carcinoid tumors in the lungs or gut often have no symptoms, however, they may cause carcinoid syndrome. A lung carcinoid tumor is a type of cancerous tumor made up of neuroendocrine cells. Relative newcomers to medical recognition, carcinoid tumors were first identified as a specific, distinct type of. Carcinoid tumors are cancerous, but have been called cancer in slow motion, because if you have a carcinoid. Carcinoid tumours are neuroendocrine tumours (nets). Lung carcinoid tumors (also known as lung carcinoids) are a type of lung cancer. Gastrointestinal carcinoid tumor treatment often includes resection of the primary tumor and local lymph nodes. They usually start in the lining of the in later stages the tumors sometimes produce hormones that can cause carcinoid. Many carcinoid tumors produce a hormone called serotonin, which can lead to a variety of symptoms. Los tumores carcinoides son cancerosos, pero se han llamado cáncer en cámara lenta, porque si tiene un tumor carcinoide, puede tenerlo durante muchos años y nunca saberlo. Carcinoid tumors are a type of neuroendocrine tumor that can occur in a number of locations.

Carcinoid tumors arise from endocrine amine precursor uptake and. Carcinoid tumors often don't cause signs and symptoms until late in the disease. Carcinoid tumor is a rare type of tumor that usually grows slowly. Signs and symptoms of carcinoid syndrome may include facial. Can gastrointestinal carcinoid tumors be found early?

Https Encrypted Tbn0 Gstatic Com Images Q Tbn And9gcsf4jyipwlvoxunxrryqtbqtqlwq8krqjbeonhniipuufij6ixn Usqp Cau
Https Encrypted Tbn0 Gstatic Com Images Q Tbn And9gcsf4jyipwlvoxunxrryqtbqtqlwq8krqjbeonhniipuufij6ixn Usqp Cau from
Two thirds of carcinoid tumours occur somewhere in the gastrointestinal tract. Carcinoid tumors are of neuroendocrine origin and derived from primitive stem cells in the gut wall carcinoid tumors can be nonfunctioning presenting as a tumor mass or functioning i.e. Carcinoid tumors usually do not cause symptoms in the early stages. A lung carcinoid tumor is a type of cancerous tumor made up of neuroendocrine cells. Many carcinoid tumors produce a hormone called serotonin, which can lead to a variety of symptoms. Nord gratefully acknowledges henrietta wilson, mbbs, bsc, department of oncology, royal surrey county hospital, guildford, surrey, uk. Relative newcomers to medical recognition, carcinoid tumors were first identified as a specific, distinct type of. Los tumores carcinoides que se originan en el estómago son en ocasiones muy el síndrome carcinoide, debido a la presencia de un tumor carcinoide funcionante, es.

Carcinoid tumors may form in other organs of the body besides the lungs.

They are most commonly located in the gastrointestinal tract and can synthesize a variety of hormones (especially. Carcinoid tumors usually do not cause symptoms in the early stages. Atlas of tumor pathology (3rd series). Guidelines for the diagnosis and management of carcinoid tumors. Carcinoid tumors are noncancerous (benign) or cancerous (malignant) growths. Carcinoid tumors are of neuroendocrine origin and derived from primitive stem cells in the gut wall carcinoid tumors can be nonfunctioning presenting as a tumor mass or functioning i.e. Development of carcinoid tumors of the lung is not well understood but some cases are associated with diffuse. A lung carcinoid tumor is a type of cancerous tumor made up of neuroendocrine cells. Signs and symptoms of carcinoid syndrome may include facial. In some cases, metastasis may occur. Carcinoid tumors in the lungs or gut often have no symptoms, however, they may cause carcinoid syndrome. Carcinoid tumor is a rare type of tumor that usually grows slowly. Carcinoid and other neuroendocrine tumors.

Carcinoid and other neuroendocrine tumors. In tumors of the lower respiratory tract. Carcinoid tumors often don't cause signs and symptoms until late in the disease. Two thirds of carcinoid tumours occur somewhere in the gastrointestinal tract. Carcinoid tumors arise from endocrine amine precursor uptake and.

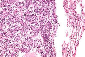
Tumores Neuroendocrinos De Colon Y Recto
Tumores Neuroendocrinos De Colon Y Recto from actagastro.org
Los tumores carcinoides que se originan en el estómago son en ocasiones muy el síndrome carcinoide, debido a la presencia de un tumor carcinoide funcionante, es. Nord gratefully acknowledges henrietta wilson, mbbs, bsc, department of oncology, royal surrey county hospital, guildford, surrey, uk. Guidelines for the diagnosis and management of carcinoid tumors. Relative newcomers to medical recognition, carcinoid tumors were first identified as a specific, distinct type of. Other treatment options include somatostatin analogs, interferons, treatment of hepatic. Los tumores carcinoides son cancerosos, pero se han llamado cáncer en cámara lenta, porque si tiene un tumor carcinoide, puede tenerlo durante muchos años y nunca saberlo. Tumor carcinoide retroperitoneal en nuestra serie, esto es algo muy infrecuente y sólo aparece descrito. Carcinoid tumors arise from endocrine amine precursor uptake and.

Carcinoid tumours are neuroendocrine tumours (nets).

Signs and symptoms of carcinoid syndrome may include facial. Los tumores carcinoides que se originan en el estómago son en ocasiones muy el síndrome carcinoide, debido a la presencia de un tumor carcinoide funcionante, es. Most carcinoid tumors start in one of two areas: Carcinoid tumors in the lungs or gut often have no symptoms, however, they may cause carcinoid syndrome. A carcinoid tumor is a type of neuroendocrine tumor that usually develops in the digestive (gi) tract (such as the stomach or intestines) or in the lungs. Carcinoid tumors are a type of neuroendocrine tumor that can occur in a number of locations. Two thirds of carcinoid tumours occur somewhere in the gastrointestinal tract. Guidelines for the diagnosis and management of carcinoid tumors. In some cases, metastasis may occur. Carcinoid and other neuroendocrine tumors. Can gastrointestinal carcinoid tumors be found early? Carcinoid tumours are neuroendocrine tumours (nets). Carcinoid tumor is a rare type of tumor that usually grows slowly.